Maladies parodontales

Cas réalisé par le Dr CHAMIEH

Henri a consulté à cause de dents qui bougent et qui se sont écartées ainsi que de gencives qui saignent. Il a perdu des dents et commence à avoir du mal à manger.

Après avoir calibré le brossage lors d’une séance dédiée à l’éducation thérapeutique à l’hygiène orale, Henri est vu pour un débridement parodontal. Cela consiste à retirer le biofilm infectieux au dessus de la gencive et dans les zones où la gencive n’est plus attachée à la dent à cause de la maladie. Ce traitement n’a pas besoin de chirurgie, d’antiseptiques, d’antibiotiques, ni même d’anesthésie. Il consiste à utiliser des ultrasons et un aéropolisseur afin de désinfecter la surface de la dent et de la racine pour permettre la cicatrisation de la gencive.

Deux mois après le traitement, la cicatrisation est analysée lors d’une séance de réévaluation parodontale pendant laquelle la réattache de la gencive à la dent est méticuleusement scrutée.

En fonction de la cicatrisation et de la sévérité de la maladie, un programme de suivi appelé maintenance parodontale est mis en place pour éviter les récidives.


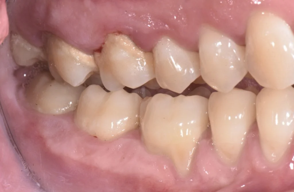
Cas réalisé par le Dr CHAMIEH

Sabrina s’est présentée avec des douleurs et des saignements importants. Elle voir que ses dents se déchaussent et qu’elles bougent.

Après un débridement non chirurgical puis une greffe de gencive, la santé parodontale est rétablie. Sabrina devra suivre un programme de maintenance parodontal pour éviter une récidive.


Cas réalisé par le Dr CHAMIEH

Alain a consulté suite à l’apparition de douleurs et d’abcès avec des dents qui bougent. Sa gencive est douloureuse et il a du mal à brosser. Ses problèmes sont aggravés par une maposition sévère des dents. Celle-ci ne peut être corrigée que par une chirurgie maxillo-faciale sous anesthésie général s’il le désir.

Dans son cas, un traitement parodontal non chirurgical a permis la guérison des abcès. Grace à la qualité de son brossage au quotidien, l’inflammation est résolue dans la quasi totalité des sites lésés. Alain devra suivre un programme de maintenance parodontale pour éviter une récidive de sa maladie

Cicatrisation à 3 mois


Cas réalisé par le Dr CHAMIEH

Anthony a consulté à 21 ans pour des déchaussements autour de toutes les dents. Aujourd’hui, ses dents sont très sensibles au froid.

Lors de la consultation, il a été diagnostiqué que le brossage était compulsif. La technique de brossage sera corrigée lors d’une séance d’éducation thérapeutique à l’hygiène orale pour éviter que ces déchaussement ne surviennent à nouveau.

Il a été possible, avec 2 interventions de tunnélisation, de recouvrir la totalité des dents déchaussées.

A 3 mois, les résultats sont satifaisants.

Précédent
Précédent

Greffe osseuse